Зубные коронки в Турции: Идеальная улыбка с Cayra Clinic

Зубные коронки — это полые ортопедические конструкции в форме зуба, которые часто называют «зубными колпачками». Стоматологи во всем мире используют их как для восстановления функциональности челюсти, так и для эстетического совершенствования улыбки. Коронки являются безупречным решением для коррекции треснувших, деформированных или сильно потемневших зубов.

Если вы недовольны состоянием своей улыбки, эксперты Cayra Clinic помогут вам обрести сияющую и здоровую уверенность в себе. Мы применяем простые и эффективные методики, которые обеспечивают высокое качество и комфорт, оставаясь при этом самым доступным вариантом на рынке медицинского туризма.

Что представляют собой зубные коронки в Турции?

Зубные коронки — это искусственные зубы, изготовленные из высокотехнологичных материалов, таких как диоксид циркония, керамика или фарфор (E-max). В отличие от виниров, которые закрывают только переднюю часть, коронки охватывают зуб со всех сторон (на 360 градусов). Они в точности имитируют натуральную эмаль, что делает их идеальным выбором для восстановления разрушенных или сильно изношенных зубов.

Дизайн современных коронок разрабатывается индивидуально: они отражают свет так же, как естественные зубы, и полностью соответствуют им по размеру, форме и оттенку. Коронки не только улучшают внешний вид, но и укрепляют структуру подлежащего зуба, помогая сохранить ваши природные корни на долгие годы.

Преимущества установки коронок в Cayra Clinic

  1. Материалы премиум-класса: Мы используем только сертифицированный диоксид циркония и стеклокерамику E-max, которые отличаются исключительной прочностью и биосовместимостью.

  2. Цифровое моделирование (CAD/CAM): В наших клиниках в Стамбуле и Анталии коронки создаются с помощью компьютерных технологий, что гарантирует идеальную посадку с точностью до микрона.

  3. Голливудская эстетика: Наши техники — настоящие художники. Они подбирают градиент цвета так, чтобы коронка была неотличима от соседних зубов даже при ярком свете.

  4. Скорость и сервис: Весь процесс протезирования занимает от 3 до 5 дней. Мы организуем для вас трансфер, проживание и обеспечиваем сопровождение на русском языке.

Кому необходимы зубные коронки? Полный гид от Cayra Clinic

Если вы мечтаете о преображении улыбки, боретесь с пятнами на эмали, трещинами, сколами или слабостью зубов, зубные коронки могут стать для вас идеальным решением. В Cayra Clinic мы предлагаем инновационные методы реставрации, которые возвращают зубам не только эстетику, но и их первоначальную силу.

Для пациентов, склонных к аллергии на металлы, мы используем диоксид циркония — полностью гипоаллергенный материал, который не вызывает раздражения десен и выглядит максимально естественно. Если вы сомневаетесь, подходит ли вам этот метод, свяжитесь с нами для бесплатной консультации.


Основные причины для установки коронок

В современной стоматологии коронки используются для решения широкого спектра задач:

1. Защита и укрепление слабых зубов

Коронка необходима для защиты зубов, разрушенных кариесом или ослабленных старыми, крупными пломбами. Она плотно охватывает зуб, предотвращая его дальнейшее раскалывание и разрушение под жевательной нагрузкой.

2. Реставрация после серьезных повреждений

Мы рекомендуем установку коронок для восстановления сломанных или сильно изношенных зубов (например, при бруксизме). Также коронка является обязательным этапом после лечения корневых каналов, так как депульпированный зуб становится хрупким и нуждается в прочном «каркасе».

3. Эстетическое преображение (Smile Makeover)

Коронки — ключевой элемент процедуры «голливудской улыбки». Они позволяют радикально изменить форму, размер и цвет сразу нескольких или всех зубов, создавая безупречный визуальный ряд.

4. Опора для мостовидных протезов

Зубные коронки служат надежными опорами для дентальных мостов, фиксируя их на месте и позволяя восстановить целостность зубного ряда при отсутствии одного или нескольких зубов.

5. Маскировка дефектов

Если зуб деформирован от рождения, имеет стойкое дисколорит (потемнение), которое не поддается отбеливанию, или сильно поврежден кариесом, коронка полностью скрывает эти недостатки.

6. Завершение имплантации

Коронки используются в паре с дентальными имплантатами. В этой связке имплантат выполняет роль корня, а коронка — видимой части зуба. Это наиболее совершенный способ восстановления утраченного зуба на сегодняшний день.

 

Из чего делают зубные коронки? Полный обзор материалов

За десятилетия развития эстетической стоматологии появилось множество составов для изготовления коронок. Золото — один из старейших материалов, который до сих пор ценится за долговечность, однако сегодня рынок предлагает решения на любой вкус и бюджет.

В Cayra Clinic мы помогаем пациентам выбрать материал, который обеспечит идеальный баланс между красотой и прочностью.

 
зубные коронки Цены и материалы в Турции

Сравнительная таблица материалов для коронок в Турции

МатериалПреимуществаНедостаткиСредняя цена в Турции
Фарфор / КерамикаМаксимально естественный цвет и прозрачность.Относительная хрупкость, риск сколов при высокой нагрузке.100–125 Евро
Металлокерамика (на золоте, серебре, титане)Высокая прочность и долговечность.Низкая эстетика (металл может просвечивать), возможны аллергические реакции.200–300 Евро
Цирконий / E-max / PFM (Металлокерамика)Сочетание прочности металла и красоты фарфора.У PFM (металлокерамики) со временем может появиться темная линия у десны.200–250 Евро
Акрил (Пластмасса)Используется для временных коронок или протезов.Хрупкий, недолговечный, быстро окрашивается и ломается.75–100 Евро
ЗолотоБиосовместимость и абсолютная устойчивость к коррозии.Высокая стоимость и специфический «металлический» вид.250+ Евро

Как выбрать подходящий материал для вашей коронки?

Выбор материала — это совместное решение пациента и стоматолога, основанное на трех ключевых факторах:

1. Расположение и функция зуба

Если зуб находится в «линии улыбки» (передние зубы), приоритетом является естественность. Здесь идеальным выбором будут E-max или цельная керамика. Если же необходимо восстановить жевательный зуб (задний ряд), который несет основную нагрузку, лучше выбрать сверхпрочный диоксид циркония или качественную металлокерамику.

2. Стоимость и бюджет

Если бюджет ограничен, металлокерамика (PFM) остается отличным вариантом: она доступна по цене, проверена временем и очень прочна. Для тех, кто ищет премиальное качество по разумной цене, Турция предлагает диоксид циркония, который здесь стоит значительно дешевле, чем в Европе или США.

3. Возраст и долговечность

Молодым пациентам мы чаще рекомендуем современные и эстетичные материалы, такие как цирконий. Диоксид циркония выглядит как натуральная эмаль и обладает феноменальной износостойкостью — такие коронки служат от 15 до 25 лет при правильном уходе.

Преимущества установки зубных коронок в Турции: Качество и доступность

Выбор Турции для стоматологического лечения — это решение, сочетающее в себе передовые технологии и значительную экономию. В Cayra Clinic мы предлагаем решения, которые возвращают не только эстетику улыбки, но и полноценную жевательную функцию.

 

Основные преимущества зубных коронок:

  • Универсальность: Подходят для восстановления как передних, так и жевательных зубов.

  • Высокая прочность: Материалы (особенно цирконий) крайне устойчивы к сколам и трещинам.

  • Надежная фиксация: Современные адгезивные протоколы практически исключают риск выпадения коронки.

  • Защита: Коронка служит «броней» для ослабленного или разрушенного зуба.

     
  • Экономичность: В большинстве случаев коронки обходятся дешевле, чем установка виниров на сильно поврежденные зубы.

 

Стоимость зубных коронок: Стоит ли это того?

Цена на зубные коронки в Турции варьируется в зависимости от выбранного материала и сложности случая. В Cayra Clinic мы предлагаем премиальное качество по конкурентоспособным ценам — от 100 до 300 евро за одну единицу.

Почему цены в клиниках различаются? Разница в стоимости обычно обусловлена квалификацией врача, использованием цифрового оборудования (CAD/CAM) и качеством самих материалов (Германия, Швейцария или США).

 

Примерные расчеты и пакетные предложения:

Если вам требуется комплексная реставрация (например, 12 коронок), вы можете ориентироваться на следующие цифры:

  • Циркониевые коронки (Zirconia): примерно 2600–3000 евро за весь курс.

  • Металлокерамика (PFM): примерно 2000–2500 евро за весь курс.

Важно: Cayra Clinic предлагает пакеты «Все включено», которые уже включают проживание в отеле, VIP-трансфер и все медицинские расходы. Вам не нужно беспокоиться о скрытых платежах.

 

Процесс и альтернативы

Для установки коронки стоматолог аккуратно снимает тонкий слой эмали, чтобы создать место для конструкции. Это делает коронку частью вашего прикуса, обеспечивая естественные ощущения.

Подходят ли коронки именно вам? Это зависит от состояния ваших зубов. Коронки незаменимы при установке на дентальные имплантаты или в составе мостовидных протезов. Однако, если ваши зубы здоровы и вы ищете только эстетического улучшения, наши врачи могут предложить более щадящие альтернативы.

С чего начать?

Cayra Clinic предлагает бесплатную онлайн-консультацию и предварительный расчет стоимости. Наши эксперты подберут лучшее решение, исходя из ваших пожеланий и бюджета.

 

Пошаговый процесс установки зубных коронок в Турции

Весь процесс преображения вашей улыбки в Cayra Clinic занимает всего около 6 дней благодаря использованию высокотехнологичного оборудования и собственной лаборатории. Для сравнения, во многих других странах, таких как США или Великобритания, эта процедура может растянуться до 3 недель.

График процедур (примерный):

  • День 1: Подготовка зубов, снятие слепков и установка временных коронок.

  • День 2–4: Изготовление постоянных коронок в лаборатории.

  • День 4–5: Примерка и фиксация постоянных коронок.

  • День 6: Финальный осмотр и контроль прикуса. (Индивидуальный график может меняться в зависимости от ваших конкретных потребностей).


Этап 1: Подготовка зубов (День 1)

Любая долговечная конструкция требует качественной основы. На первом этапе стоматолог тщательно очищает зубы, чтобы предотвратить развитие кариеса под будущей коронкой. Затем с поверхности зуба аккуратно снимается тонкий слой эмали. Это необходимо для того, чтобы коронка плотно прилегала к зубу и не ощущалась инородным телом при надкусывании.

Этап 2: Снятие слепков (День 1)

После подготовки зубов делается слепок (оттиск), который в точности повторяет форму ваших зубов. В Cayra Clinic мы используем эти слепки в собственной зуботехнической лаборатории для создания как временных, так и постоянных конструкций. Изготовление постоянных коронок занимает всего от 1 до 3 дней.

Этап 3: Временные коронки (День 1)

Чтобы вы не испытывали дискомфорта, пока ваши постоянные коронки изготавливаются, мы устанавливаем временные «колпачки». Они защищают обточенные зубы и позволяют вам нормально принимать пищу. Временные коронки обычно изготавливаются из акрила — это легкий, но не предназначенный для долгого ношения материал.

Этап 4: Установка постоянных коронок (День 2–4)

Когда ваши постоянные коронки (из циркония или керамики) готовы, наступает самый ответственный момент. Врач снимает временные коронки, очищает зубы и проводит примерку новых.

Если требуется подгонка, стоматолог с ювелирной точностью корректирует форму коронок, чтобы они идеально соответствовали вашему прикусу. После финальной примерки коронки фиксируются на специальный стоматологический цемент. Для мгновенного затвердевания клея используется ультрафиолетовый (УФ) свет, что гарантирует надежную фиксацию на долгие годы.

Индивидуальный дизайн: По вашему желанию мы можем придать постоянным коронкам специфическую форму — например, сделать более выраженные клыки для создания уникального образа.

 

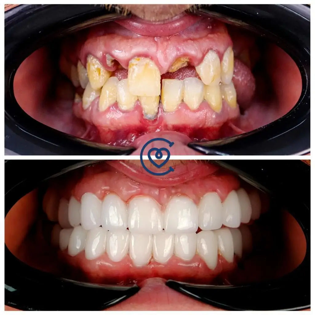
Зубные коронки: Фото «До» и «После»

Результаты установки коронок в Cayra Clinic говорят сами за себя. Пациенты, которые годами стеснялись своей улыбки из-за трещин, потемневших пломб или отсутствующих зубов, преображаются всего за одну неделю.

Что меняется после процедуры?

  • Симметрия: Мы восстанавливаем идеальную форму и размер каждого зуба.

  • Цвет: Вы можете выбрать как естественный оттенок, так и ослепительно белый в стиле «Голливуд».

  • Уверенность: Ваша улыбка становится вашим главным аксессуаром.

Подробное руководство: Долговечность и срок службы

Один из самых частых вопросов: как долго служат зубные коронки? При правильном уходе и качественной установке в Cayra Clinic средний срок службы составляет:

  • Циркониевые коронки: 15–25 лет.

  • Керамика E-max: 10–15 лет.

  • Металлокерамика (PFM): 10–12 лет.

Факторы, влияющие на срок службы:

  1. Гигиена полости рта: Коронки не подвержены кариесу, но ткани десны вокруг них требуют чистоты.

  2. Привычки: Избегайте привычки грызть лед, карандаши или открывать бутылки зубами.

  3. Бруксизм: Если вы скрипите зубами во сне, мы изготовим для вас специальную защитную капу.

коронки до и после
стоматология Турция результаты

Советы по уходу и обслуживанию зубных коронок

Чтобы ваши новые коронки в Cayra Clinic служили вам долгие годы и выглядели как в первый день после установки, необходимо соблюдать простые, но важные правила ухода. Коронки — это долговечные конструкции, но они требуют осознанного отношения к гигиене и привычкам.

1. Защита от избыточного давления

Прежде всего, крайне важно избегать сильного стискивания зубов или скрежета (бруксизма). Это может привести к сколам керамики или растрескиванию коронки. Если вы замечаете, что непроизвольно скрежещете зубами (особенно во сне), мы настоятельно рекомендуем использовать ночную капу. Она создаст защитный барьер, сохранив здоровье как ваших натуральных зубов, так и дорогостоящих реставраций.

2. Безупречная гигиена полости рта

Регулярная гигиена — залог долголетия коронок. Чистите зубы минимум дважды в день и ежедневно используйте зубную нить.

  • Особое внимание уделяйте линии десны: Именно там, на стыке коронки и десны, чаще всего скапливаются бактерии.

  • Предупреждение: Скопление налета вдоль края десны может привести к развитию кариеса на оставшейся части вашего натурального зуба под коронкой, что поставит под угрозу всю конструкцию.

3. Избегайте экстремальных нагрузок

Чтобы поддерживать коронки в идеальном состоянии, откажитесь от привычки грызть или жевать твердые предметы. Лед, тягучие ириски, твердые леденцы и даже привычка грызть ногти могут нанести непоправимый вред материалу коронки. Помните: коронка прочна, но точечное давление на хрупкую керамику может вызвать трещину.

4. Регулярные визиты к стоматологу

Посещение стоматолога для профессиональной чистки и планового осмотра гарантирует, что ваша реставрация находится в отличном состоянии. Врач сможет вовремя заметить микроизменения и предотвратить проблемы. Посещайте стоматолога минимум два раза в год.

Стоимость зубных коронок в Турции

Преимущества и недостатки зубных коронок: Что нужно знать пациенту

Перед тем как принять решение о протезировании, важно взвесить все «за» и «против». В Cayra Clinic мы верим в честность и прозрачность, поэтому подготовили для вас подробный разбор.

Преимущества лечения в Cayra Clinic

Выбирая нашу клинику в Турции, вы получаете не только новую улыбку, но и ряд неоспоримых плюсов:

  • Восстановление функции и эстетики: Коронки идеально имитируют натуральные зубы и возвращают радость от приема пищи и общения.

  • Экономия до 70%: Стоимость коронок в Турции на 60–70% ниже, чем в США или странах ЕС, при сохранении (а зачастую и превосходстве) мировых стандартов качества.

  • Пакеты «Все включено»: Мы берем на себя заботу о вашем трансфере, проживании в отеле и медицинском сопровождении.

  • Собственная лаборатория: Использование цифровых технологий CAD/CAM позволяет нам изготовить коронки за 3–5 дней с идеальной точностью.


Возможные недостатки и риски 

Как и любая медицинская процедура, установка коронок имеет свои нюансы. Специалисты Cayra Clinic уделяют максимум внимания деталям, чтобы свести эти риски к минимуму.

1. Чувствительность зубов

Некоторые пациенты могут испытывать дискомфорт сразу после процедуры, особенно чувствительность к горячему или холодному. Обычно это временное явление, которое проходит в течение 2 недель.

2. Боль при надкусывании

Если коронка установлена слишком высоко, она может мешать смыканию челюстей. В Cayra Clinic мы проводим тщательную проверку прикуса и, если необходимо, филигранно корректируем форму коронки для вашего комфорта.

3. Риск сколов или расшатывания

Коронка может треснуть при употреблении очень твердой пищи (лед, орехи) или расшататься из-за липких продуктов (ириски, карамель). Мы рекомендуем проявлять осторожность и соблюдать правила гигиены.

4. Выпадение коронки

Это случается крайне редко и обычно связано с неправильной подгонкой или недостаточным количеством цемента. Наши врачи используют только высокоадгезивные составы последнего поколения, чтобы фиксация была максимально надежной.

5. Аллергические реакции

В редких случаях возможна аллергия на фарфор или металлы в составе коронок. Решение от Cayra Clinic: Если вы склонны к аллергии, мы предлагаем коронки из диоксида циркония — полностью биосовместимый и гипоаллергенный материал.


Сводная таблица: Почему Cayra Clinic минимизирует риски

РискКак мы его решаем в Cayra Clinic
Боль в прикусеИспользование компьютерного моделирования прикуса.
АллергияПредлагаем безметалловые решения (Цирконий, E-max).
Короткий срок службыГарантия на материалы и работу опытных протезистов.
Высокая ценаСамые конкурентные цены в Турции без скрытых доплат.
 

Часто задаваемые вопросы о зубных коронках в Турции

Главный «недостаток» заключается в том, что это необратимая процедура, так как зуб обтачивается. Однако, если сравнивать с альтернативами, это лучшее долгосрочное решение для спасения разрушенного зуба, которое предотвращает его полное удаление.

 

Да, это отличное решение. Турецкие клиники, такие как Cayra Clinic, используют материалы премиум-класса (цирконий, E-max), но за счет меньших операционных расходов предлагают цены на 60-70% ниже, чем в Европе или США. Это позволяет получить голливудскую улыбку без огромных затрат.

 

 

Это случается крайне редко. Основные причины: сильный механический удар или разрушение зуба под коронкой из-за плохой гигиены. Если коронка выпала, необходимо немедленно обратиться к врачу в Cayra Clinic для её повторной фиксации или замены.

 

Сама коронка не подвержена кариесу, но ткани под ней — да. Мы рекомендуем чистить зубы дважды в день и обязательно использовать зубную нить или ирригатор, чтобы удалять налет вдоль линии десны.

 

Основные признаки инфекции: отек десны, покраснение, неприятный запах или пульсирующая боль. Регулярные осмотры в Cayra Clinic позволяют выявить такие проблемы на ранней стадии.

 

Если произошел скол, немедленно свяжитесь с нами. Обнаженный зуб под коронкой становится крайне чувствительным к температуре и бактериям. Мы оперативно заменим поврежденную конструкцию.

 

Для передних зубов мы рекомендуем цирконий или E-max из-за их естественной прозрачности. Металлокерамика прочна и дешевле, но со временем может оставить темную полосу у десны, поэтому её чаще ставят на жевательные зубы.

 

 

В Cayra Clinic весь процесс занимает около 5-7 дней. Это включает подготовку, изготовление в лаборатории и финальную фиксацию.

Нет, процедура проводится под местной анестезией. Вы не почувствуете боли. После процедуры возможна временная чувствительность, которая проходит в течение нескольких дней.

Да! В таких случаях мы используем безметалловую керамику или диоксид циркония. Эти материалы полностью биосовместимы и не вызывают аллергических реакций.

При правильном уходе коронки из диоксида циркония служат от 15 до 25 лет. Регулярная гигиена и визиты к стоматологу дважды в год — ключ к их долговечности.

Винир покрывает только переднюю часть зуба и служит для эстетики. Коронка покрывает зуб на 360 градусов, укрепляя его и восстанавливая функцию при сильных разрушениях.

 

Не всегда. Если зуб живой и здоровый, наши врачи стараются сохранить нерв. Удаление нерва требуется только при глубоком кариесе или сильном разрушении.

 

Наши пакеты включают медицинские процедуры, VIP-трансфер (аэропорт-отель-клиника), проживание в отеле 4*/5* и услуги русскоговорящего куратора.